Exitosa operació al Parc Taulí per corregir una curvatura cervical pronunciada utilitzant la tecnologia 3D. Segons informa l’hospital sabadellenc, el pacient, de 40 anys, havia estat operat prèviament per un tret a les cervicals que li havia produït una lesió medul·lar. Els doctors Jorge Herrería i Fabián Romero, del servei de neurocirurgia del Taulí, han estat els artífexs d’aquesta intervenció.
D’acord amb la informació facilitada pel Taulí, el pacient patia “dolors insuportables” a la zona cervical. Després de realitzar un estudi, van detectar-li una curvatura anormal de les cervicals per una fractura de les vèrtebres C6 i C7, que li havia provocat una deformitat.
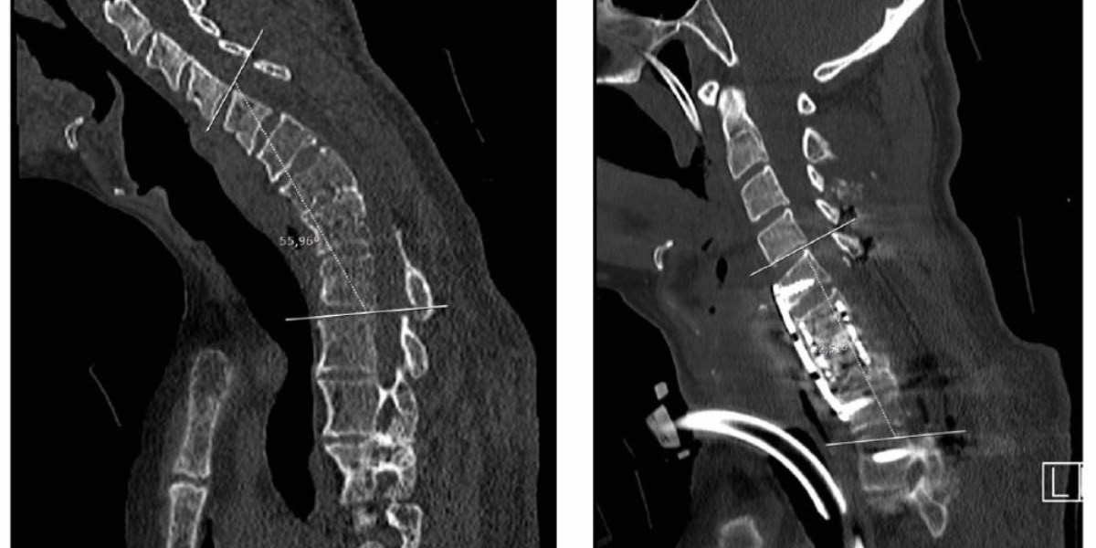
Degut a la complexitat del cas -les vèrtebres cervicals són més petites i el pacient ja havia estat operat prèviament- l’equip de neurocirurgians va decidir realitzar una operació quirúrgica amb l’objectiu de corregir la corba de 56º i fixar la posició de la columna.

El Dr. Jorge Herrería va fer un abordatge de 360º utilitzant implants en 3D, realitzats pel laboratori de l’I3PT. Primer es van substituir les vèrtebres danyades, la C6 i la C7, amb una malla metàl·lica de titani per desfer la inclinació que tenia el coll. Tot seguit, es va fixar amb claus i barres les vèrtebres cervicals altes.
Segons explica el Taulí, per poder fer aquesta operació, primer es va fer una planificació amb un model anatòmic tridimensional, amb l’ajuda del Tailor Surgery, on es va dissenyar la trajectòria dels claus a través de la vèrtebra per no lesionar les artèries vertebrals i la medul·la cervical. Posteriorment, es van dissenyar unes guies personalitzades que es van posar en les estructures fixes del pacient, per poder col·locar correctament els claus. L’operació va ser un èxit, es va aconseguir corregir més de 33º la cifosi prèvia fixant el coll del pacient en una posició pràcticament normal, de 20º.
Foto de portada: Dr. Jorge Herrería i Dr. Fabián Romero, del servei de neurocirurgia del Parc Taulí. Autor: cedida.
